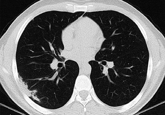
폐암 초기증상은 호흡관란, 지속적인 기침 및 가래, 흉통 등이 있으며, 조기발견과 정확한 진단이 중요합니다. 아래에서는 폐암 초기증상에 대해 자세히 알아보고 조기 발견할 수 있도록 도움이 되었으면 합니다.



폐암 초기증상
폐암 초기증상 1. 흉통
폐암 초기증상 첫 번째는 흉통입니다. 흉부를 통해서 통증이 느껴지는 증상도 흔한 증상 중 하나라고 합니다. 만약 폐의 단부에 종양이 생기면 이것들이 흉막 그리고 흉벽을 침범하게 됩니다. 이 때문에 날카로운 통증이 느껴지는 것으로 알려져 있으며 기침에 가슴의 통증이 나타난다면 의심을 해볼 수 있습니다.
폐암 초기증상 2. 식욕부진
식욕부진 식욕부진은 폐암뿐만 아니라 대부분의 암환자들이 경험하는 초기 증상입니다. 초기엔 암세포들이 체내 영양분을 흡수하면서 빠르게 성장하는 시기이기 때문에 평소와 같은 식사량에도 갑자기 체중이 줄어든다거나 평소와 다르게 입맛이 없다면 건강 이상을 체크해 봐야 합니다.






폐암 초기증상 3. 체중감소
식욕 감소와 전반적인 쇠약 증상은 다른 암의 증상과 마찬가지로 폐암의 징후일 수 있습니다. 갑작스러운 체중 감소는 가능한 폐암의 또 다른 징후입니다. 따라서 큰 식이조절 없이 평소 체중의 5% 정도 감량했다면 검진을 받는 것이 좋을 것 같습니다.



암세포는 정상 세포에 비해 성장 속도가 빠르기 때문에 많은 양의 에너지를 소모하여 체중이 감소하기 때문입니다. 특별한 원인 없이 6개월 이내에 체중이 10kg 이상 또는 10% 이상 급격히 감소했다면 폐암 초기 증상으로 보아야 합니다.



폐암 초기증상 3 호흡 곤란
폐암 초기증상 세 번째는 호흡 곤란입니다. 폐암이 발생할 시에 초기증상으로 숨이 가쁜 증상을 느끼게 됩니다. 숨이 가쁜 증상의 하나인 만성 폐쇄성 질환인 COPD는 주로 흡연자에게 많이 나타나며, 기도 협착과 호흡기능 저하, 폐포 폐쇄 등의 증상이 발생하게 됩니다.
이럴 경우 숨이 가쁘고 호흡 능력이 나빠지면서 자가 호흡이 어려워져서 인공호흡기를 해야 하는 경우도 발생할 수 있기에 주의가 필요합니다. 폐암 초기증상이 나타나는 사람 2명 중 1명은 호흡곤란을 경험했다고 합니다. 이때 대부분의 증상이 있는 사람들이 대수롭지 않게 흡연이나 운동 부족으로 인한 단순 호흡곤란으로 생각하므로 조기 대처가 늦어지는 경우가 많습니다.






폐암 초기증상 4. 객혈
객혈은 기침이나 가래에 피가 섞여 나오는 것으로 이러한 증상이 있을 경우 빠른 시일 내 병원에 방문하여 검사를 받도록 합시다.





폐암 초기증상 5. 두통과 구토
거식증과 구토 증상과 함께 심한 두통 호소한다면 폐암의 초기 징후일 수 있습니다. 폐에서 나온 암세포가 주변으로 전이되어 뇌로 들어가 심한 두통을 일으킬 수 있습니다. 따라서 폐암 초기증상 주의를 기울여야 합니다.






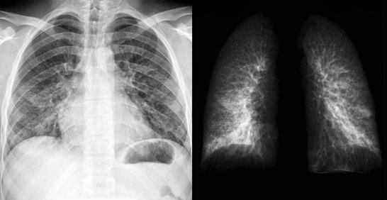
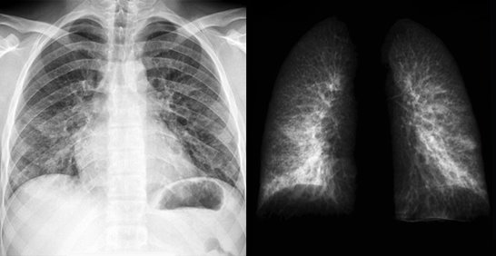
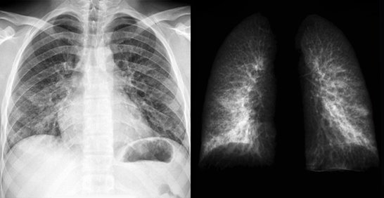
폐암 초기증상 6. 가슴 통증
기침과 함께 흉통이 동반되는 상황을 대부분으로 많은 폐암환자들이 겪고 있는 증상입니다. 그리고 기침과 함께 동반하는 흉통이 있다고 하면 폐 엑스레이를 찍어봐야 하고, 가슴의 통증 및 흉통이 발생하는 이유는 흉막과 흉벽에 위치한 암 때문으로 보통 따끔거리는 증상이나 날카로운 것으로 찌르는 듯한 가슴통증이 있습니다. 이러한 폐암 초기증상이 있다면 참지 말고 즉시 내원하여 진찰받아 보시기 바랍니다.
폐암 초기증상 7. 숨소리 변화
호흡 시 숨소리가 이상하게 들리거나 쉽게 숨을 쉴 수 없는 느낌을 주는 경우, 폐암 초기증상 중 하나일 수 있습니다. 들숨과 날숨에 쌕쌕거리는 소리와 함께 호흡이 힘들다면 병원 진찰을 받아 보도록 합시다.



폐암 초기증상 8.체중감소
갑작스러운 체중 감소는 가능한 폐암의 또 다른 징후입니다. 식욕 감소와 전반적인 쇠약 증상은 다른 암의 증상과 마찬가지로 폐암의 징후일 수 있습니다. 만약 큰 식이조절 없이 평소 체중의 5% 정도 감량했다면 검진을 받는 것이 좋을 것 같습니다.



암세포는 정상 세포에 비해 성장 속도가 빠르기 때문에 많은 양의 에너지를 소모하여 체중이 감소하기 때문입니다. 특별한 원인 없이 6개월 이내에 체중이 10kg 이상 또는 10% 이상 급격히 감소했다면 폐암 초기 증상을 의심해봐야 합니다.
폐암 초기증상 9. 객혈
기침할 때 피를 토하거나 가래에 피가 섞이는 등의 각혈 증상이 나타난다면 단순 증상이 아니므로 즉시 병원을 찾아 진료를 받아야 합니다.



폐암 초기증상 10. 뼈 골절, 통증
폐암이 매우 진행되어 별다른 외상 없이 뼈로 전이된다면 초기 증상은 아니지만 환부에 심한 통증과 골절이 발생할 수 있습니다.



폐암 초기증상 11. 숨 가쁨
숨이 가쁜 증상의 하나인 만성 폐쇄성 질환인 COPD는 주로 흡연자에게 많이 발생하는데, 기도 협착과 호흡기능 저하 및 폐포 폐쇄 등의 증상이 나타납니다. 그리고 숨이 가쁘고 호흡기능이 떨어진다고 하면 자가 호흡이 어려워져 호흡기를 해야 하는 경우도 발생할 수 있기에 주의가 필요합니다.
폐암 예방법
흡연은 폐암의 가장 큰 원인 중 하나입니다. 담배를 피우지 않거나 금연하는 것이 폐암 예방에 가장 효과적입니다. 만약 흡연 중이라면 의사나 금연 전문가의 도움을 받아 금연 계획을 수립하는 것이 좋습니다.



실내 공기질을 개선하고 유해 물질로부터의 노출을 최소화하는 것이 중요합니다. 환기를 유지하고 공기 청정기를 사용하여 실내 공기를 깨끗하게 유지하는 등의 노력을 해야 합니다.
폐암을 예방하기 위해 건강한 생활습관을 유지하는 것이 중요합니다. 규칙적인 운동, 적절한 식이, 충분한 수면 및 스트레스 관리를 실천하세요.
폐암 초기증상과 폐암 예방법에 대해 알아보았습니다. 평소 건강한 생활습관과 식습관을 가지고 건강 유의하시기 바랍니다.
2023.05.25 - [분류 전체보기] - 토마토 효능 부작용 및 보관방법
토마토 효능 부작용 및 보관방법
토마토가 제철을 맞았습니다. 항산화 물질인 라코펜이 풍부한 토마토는 면역력 강화와 여러 암 예방에 도움을 주는 건강한 식품입니다. 아래에서 토마토 효능, 토마토 부작용, 토마토 보관방법
story3323.com
2023.05.24 - [분류 전체보기] - 당뇨에 좋은 음식 및 과일 차 간식 알아봐요
당뇨에 좋은 음식 및 과일 차 간식 알아봐요
당뇨병은 각종 합병증 발생 위험이 큰 질환에 속합니다. 당뇨 발병 이후, 완치가 어려운 게 현실이므로 미리 예방하는 것이 가장 중요합니다. 환자와 당뇨 예방 도움이 되는 당뇨에 좋은 음식 및
story3323.com
'게시판' 카테고리의 다른 글
| 오미자 효능 알기 쉽게 정리했어요 (0) | 2023.05.30 |
|---|---|
| 비트 효능 14가지 및 부작용 알아봐요 (0) | 2023.05.30 |
| 갑상선암 증상 9가지 체크 해봐요 (0) | 2023.05.25 |
| 아로니아 효능 및 부작용 알고 먹어요 (0) | 2023.05.25 |
| 토마토 효능 부작용 및 보관방법 (0) | 2023.05.25 |
댓글